Внаслідок пародонтиту середнього та тяжкого ступеня може з’явитися рухливість зубів. Ця проблема починається з атрофії кісткової тканини більше 1/3 довжини зубного кореня. Ступінь рухливості зуба безпосередньо пов’язана з величиною атрофії. Одним із сучасних методів вирішення цієї проблеми є шинування зубів.
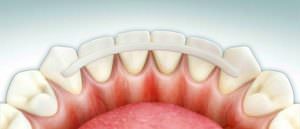
Шинування рухомих зубів – це один із методів лікування пародонтиту, метою якого є зміцнення зубів з рухливістю I-III ступеня. Завдяки процедурі, зберігається не тільки жувальна функція, а й естетика посмішки. Процедуру призначають після візуального огляду та результатів рентгенографії.
Шинування проводиться:
- в комплексі з іншими методами;
- разом з реставрацією та закриттям трем;
- на фронтальній групі зубів верхньої та нижньої щелепи;
- для усунення рухливості бічних зубів.
Показання до шинування зубів:
- пародонтит;
- зміщення зубного ряду;
- змінене розташування зубів внаслідок деформації;
- оголення коренів зубів;
- вираженість ясенних кишень.
Фото наших робіт:
![]() |
![]() |
![]() |
Лікар Яковлев Є.В.


